55-Jähriger nach Schlaganfall erfolgreich behandelt




Den 20. August 2025 wird Mathias Zierke aus Forst nicht vergessen. Der 55-Jährige steht früh auf, will sich für die Arbeit fertigmachen. „Im Badezimmer merkte ich dann, dass etwas nicht stimmt. Meine rechte Körperhälfte wurde taub, ich konnte plötzlich nicht mehr sprechen und habe nichts mehr verstanden“, sagt der Mann. Zierke ist zwar Raucher, hat aber bis dato keine Vorerkrankungen. Seine 14-jährige Tochter ist glücklicherweise bei ihm. Sie ruft den Notarzt.
Eingeliefert wird Mathias Zierke vom Rettungsdienst als akuter Notfall in die Medizinische Universität Lausitz – Carl Thiem (MUL – CT), die aufgrund ihrer zertifizierten überregionalen Schlaganfallstation auf genau solche Fälle spezialisiert ist. „Auf der Fahrt bin ich kurz wachgeworden. Ansonsten habe ich ganz schwache Erinnerungen an den Morgen“, sagt Zierke. In der Zentralen Notaufnahme wird der Forster vom Team der Neurologie und Radiologie übernommen. Aufgrund der Symptomatik wird von einem Schlaganfall ausgegangen und eine Computertomografie des Kopfes und der hirnversorgenden Arterien initiiert. Nach Auswertung der Untersuchung bestätigt sich der Verdacht: Verschluss der mittleren Hirnarterie durch einen Thrombus, der sich an der hochgradigen Verengung der Halsschlagader gebildet hat. Mathias Zierke wird nach medikamentöser Behandlung mit einem blutgerinnselauflösenden Medikament umgehend zur weiteren minimalinvasiven Eröffnung des Verschlusses in die Angiografie gebracht.
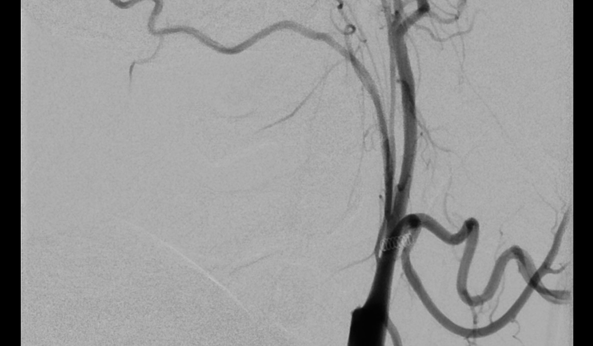
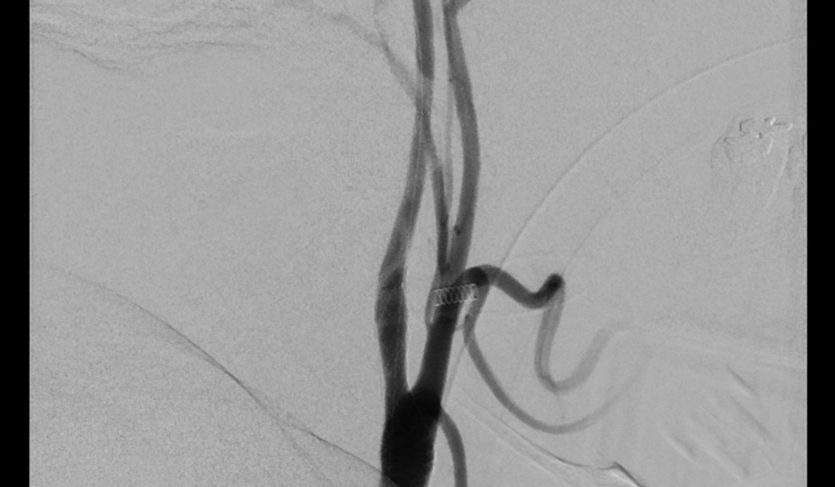
„In einem minimalinvasiven Eingriff führen wir für gewöhnlich einen Katheter von der Leistenarterie ein und navigieren ihn über einen dünnen Draht bis unmittelbar vor den Thrombus in der verschlossenen Hirnarterie“, erläutert Dr. Stefan Kliesch, Chefarzt Diagnostische & Interventionelle Neuroradiologie an der MUL – CT, „wobei wir bei Herrn Zierke die für den Thrombus ursächliche hochgradige Verengung der zuführenden Halsarterie schnell passieren konnten.“
Der Thrombus in der Hirnarterie kann entfernt und die zugrundeliegende Gefäßverengung am Hals mit einem Stent und einem kleinen Ballon geweitet werden.
„Der gesamte Eingriff dauert dabei nicht einmal eine Stunde und Herr Zierke wird noch auf dem Untersuchungstisch aus der Narkose erweckt“, sagt Dr. Kliesch. Nach dem Eingriff wird er zur Risikoabklärung auf die Stroke Unit des Klinikums verbracht. „Diese hochspezialisierte interventionelle Behandlung des Schlaganfalls kann nur in optimaler Zusammenarbeit von Neurologie, Anästhesie und Neuroradiologie erfolgen“, ergänzt Dr. Antje Herwig, leitende Oberärztin der Klinik für Neurologie.
Bereits wenige Stunden später stellen die betreuenden Ärzte der Stroke Unit nur noch geringe Restbeschwerden beim Patienten fest. Der bestätigt später: „Sprach- und Lauffähigkeit sind bereits wenige Stunden danach wieder zurückgekommen“, sagt Zierke. Er bleibt in den nächsten Tagen aber noch unter ärztlicher Beobachtung. Auf gezielte Nachfrage erinnert sich Zierke auch an mehrere Episoden von kurzzeitigen Sehstörungen auf dem linken Auge, welche neben anderen kurzzeitigen Ausfällen der gegenüberliegenden Körperseite als ein typisches Symptom für eine relevante Verengung der Halsschlagader angesehen werden, informiert der Chefarzt.
„Diesen Behandlungsverlauf wünschen wir uns, denn er zeigt, dass der Eingriff erfolgreich war und das mit Blut unterversorgte Hirngewebe gerettet werden konnte, bevor sich irreversible Schädigungen entwickeln können, welche die Lebensqualität für den Rest des Lebens deutlich einschränken können oder sogar eine dauerhafte Pflegebedürftigkeit notwendig machen“, sagt Dr. Stefan Kliesch. Das hierfür zur Verfügung stehende Zeitfenster betrage teilweise nur Minuten bis wenige Stunden. „Die Chancen auf Besserung sind prinzipiell besser, je früher und schneller der Eingriff erfolgt. Daher ist es wichtig, dass solche Eingriffe nur in dafür spezialisierten Zentren erfolgen, die hier hohe Expertise und schnelle Abläufe für 24 Stunden am Tag und jeden Tag in der Woche vorhalten können“, so der Chefarzt weiter. Die MUL – CT ist für solche Eingriffe von der Deutschen Gesellschaft für interventionelle Radiologie und minimalinvasive Therapie (DeGIR) auf der höchsten Stufe zertifiziert.
„Der Fall Zierke zeigt: Wir müssen als MUL – CT das Bewusstsein für Prävention noch stärker in den Fokus rücken und in die Modellregion Gesundheit Lausitz tragen. Das richtige Konzept bei der Vorsorge für die Bürgerinnen und Bürger ist wichtig. Faktoren wie Lebensstil, Ernährung, Zuckerspiegel, Alkohol und Nikotin sowie Gewichtszunahme durch zu wenig Bewegung sollten bei jedem Patienten individuell berücksichtigt werden. Hier stehen wir als Universitätsklinikum auch beratend zur Verfügung“, sagt Dr. Antje Herwig.
Hintergrund
Der Schlaganfall ist für gewöhnlich eine Erkrankung des älteren Menschen und dabei die häufigste Ursache für eine dauerhafte Behinderung mit Pflegebedürftigkeit. Häufig tragen Schlaganfallpatienten Schäden davon und können nur sehr langsam ihre volle Funktionstüchtigkeit zurückerlangen. Bei 40 Prozent der Patienten mit schwerem Schlaganfall bleiben dauerhafte Schäden mit Behinderungen zurück.
Pro Jahr werden an der MUL – CT etwa 1000 Schlaganfallpatienten behandelt, die sowohl aus Cottbus und dem Umland kommen – inklusive Patientinnen und Patienten, die über das Überregionale Neurovaskuläre Netzwerk „SOS-NET“ aus Ostsachsen und Südbrandenburg zur speziellen akuten interventionellen Schlaganfallbehandlung in das Uniklinikum verlegt werden.
